Nambour Dental Practice
80 years
Longest standing Private dental practice in Nambour, Your Better Dental Solution Sunshine Coast
Your Smile, Our Priority
Nambour Dental Practice, your dedicated private and local family dental clinic for comprehensive dental care in the heart of Nambour, Queensland. We are proud to be your trusted family dentist committed to providing exceptional, compassionate, and personalised dental services for every member of your family. Looking for a family dentist clinic that prioritises your comfort and oral health? You've found us! Conveniently located, we're your premier choice for a family dentist in my area.
Our Services
-
Dental Checkups
Dental Cleaning
Dental Fillings
Preventive Care
Children's Dentistry
-
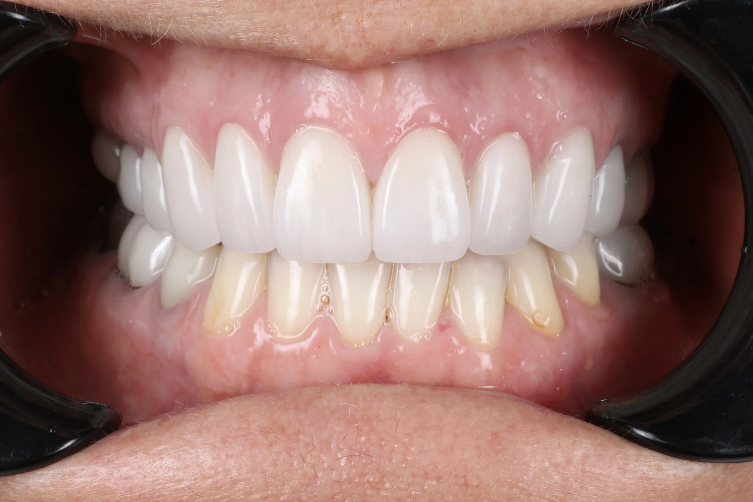
Teeth Whitening
Professional Teeth Whitening
Veneers
Cosmetic Bonding
-
Dental Implants
Bridging for Teeth
Crowns
Dentures
All on Four Dental Implants
-
Teeth Pain Emergency
Out of Hours Dentist
Emergency Dentist
Emergency Dental
When you need a dentist appointment today for urgent care.
Step into Comfort
We’ve designed our practice with your comfort in mind. From cozy blankets and background music, we ensure that every visit -whether for adults or kids - is as relaxing as possible.
Open Communication & Connect
At Nambour Dental Practice, we listen. We discuss your concerns, explain treatment options, and guide you to the best choice for your smile, whether it's for dental implants or a check-up. Our team supports your oral health journey every step of the way.
Exceptional service, Personalised for you
Every smile is unique, and so is our approach. From your first visit to your ongoing care, we tailor every treatment to suit your individual needs and preferences. Our experienced team combines advanced technology with a personal touch to ensure you feel genuinely cared for—never rushed.
Believe in Lifelong Care
For over 80 years, Nambour Dental Practice has proudly served generations. We believe your oral health is a lifelong journey. Our support extends beyond treatment, with comprehensive aftercare, preventive strategies, and long-term maintenance to keep your smile strong and healthy for years.
Payment Options and Plans
For accessible, quality dental care, Nambour Dental Practice offers various payment plans, including interest-free options. We accept most major health funds and are preferred providers for several dental schemes. Talk to our friendly team about making your dental treatment affordable and convenient.
Same day Emergency
Dental emergencies can happen anytime — and we’re here when you need us most. Whether it’s sudden pain, a broken tooth, or an unexpected dental issue, our team prioritises same-day appointments to get you out of discomfort quickly and safely.
Our Team
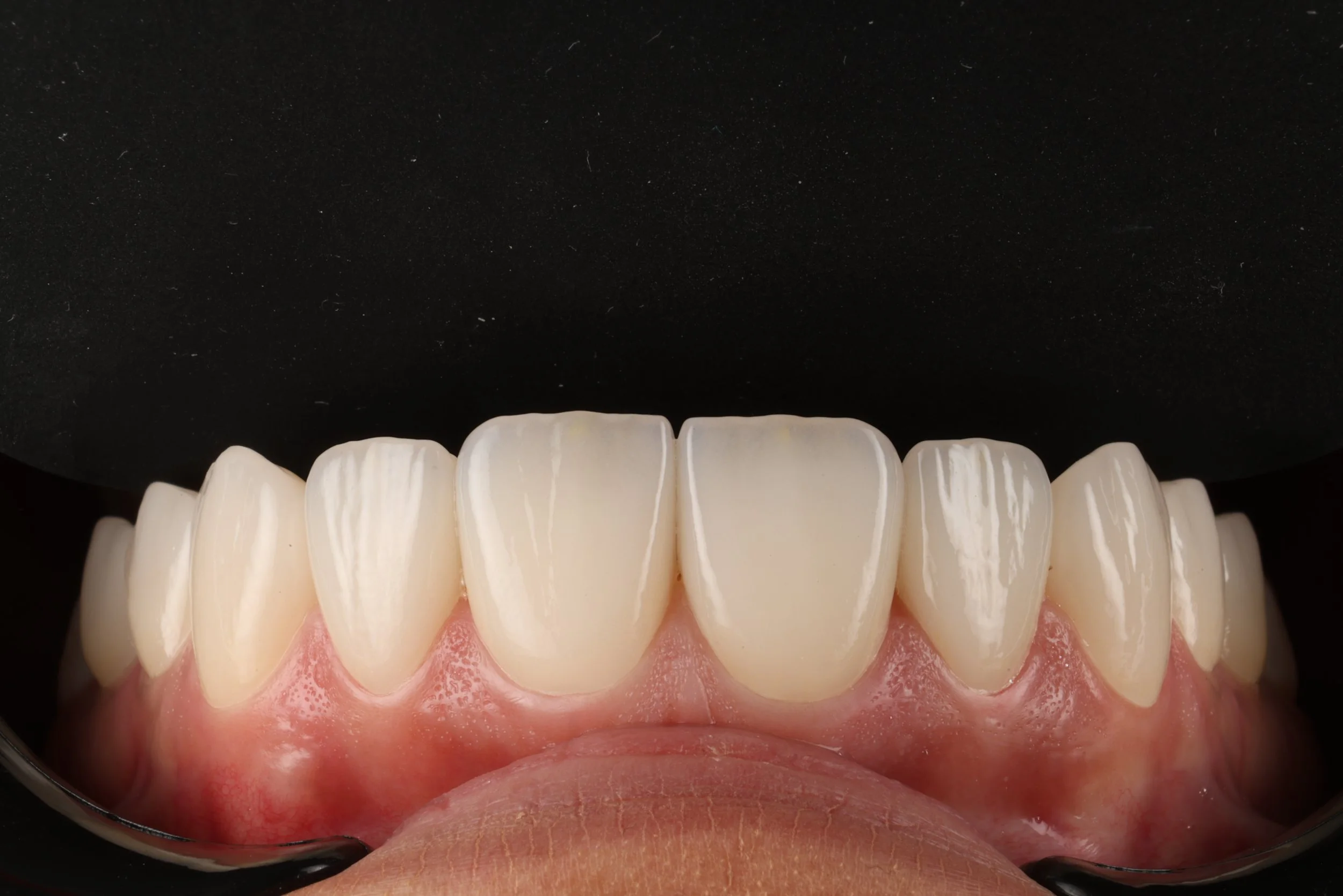
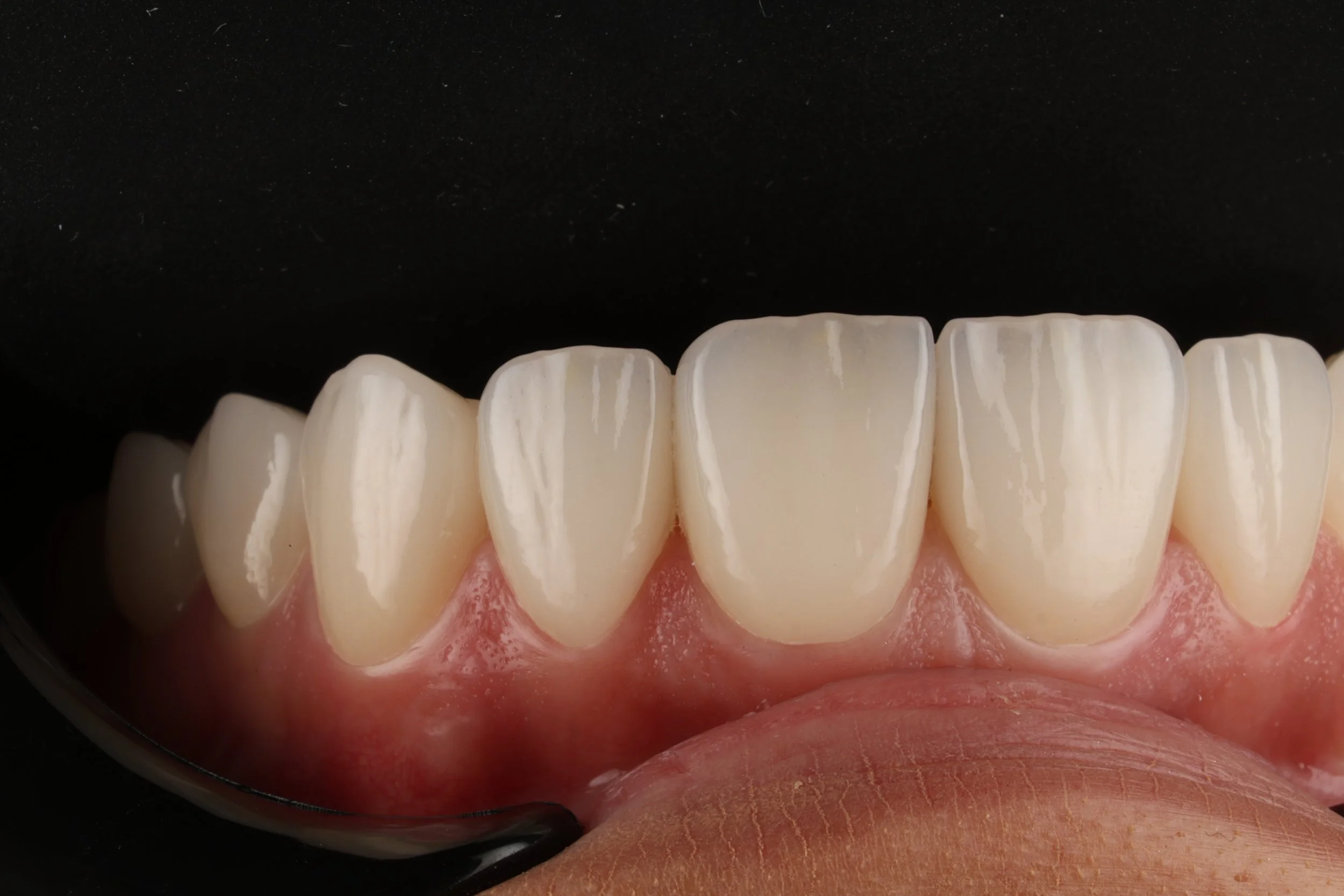
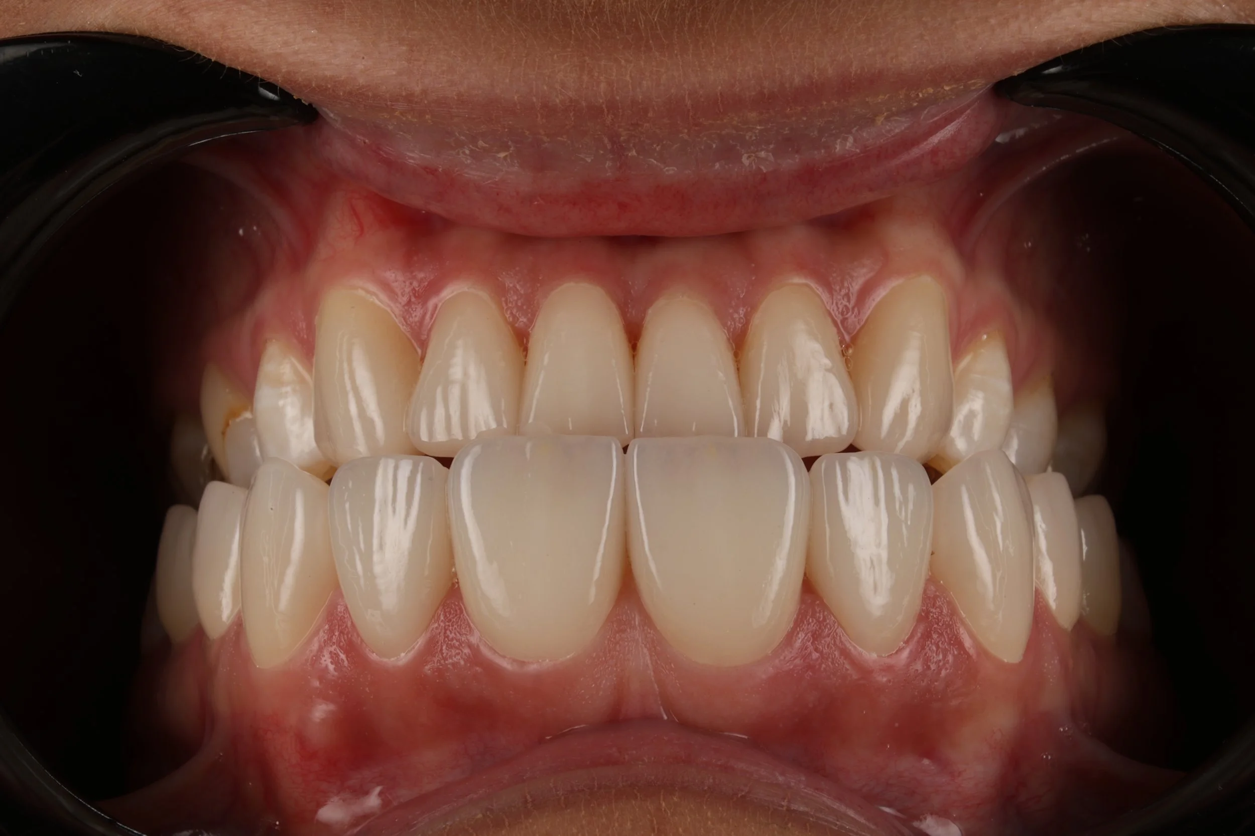
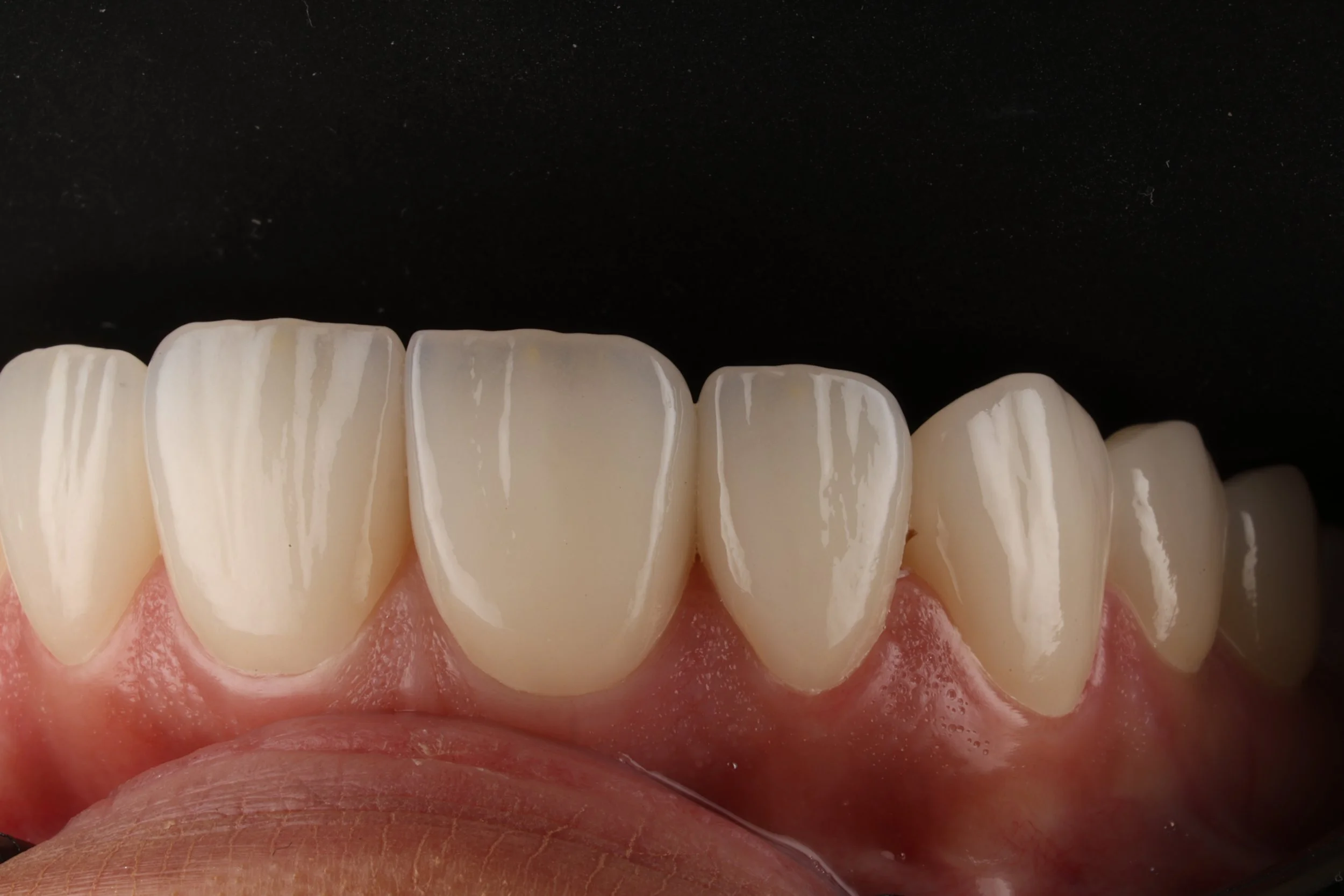
Our Smiles
FAQs
-
Yes, we understand that dental emergencies can happen at any time. We offer urgent appointments for teeth pain emergencies and are equipped to handle various emergency dental situations. Please call us immediately if you require an emergency dentist or an out-of-hours dentist.
-
We offer a range of flexible payment plans for dental work near me to help make your treatment affordable. This includes interest-free options and acceptance of major health funds. Please discuss our dental payment Nambour options with our reception team.
-
Absolutely! We are a dedicated family dentist providing comprehensive care for patients of all ages, from young children to seniors. We aim to be your lifelong Nambour family dental provider.
-
The cost of a dental check-up can vary depending on individual needs. We provide transparent pricing and will discuss all costs with you upfront. Please contact our reception for more specific information.
-
Yes, we offer a range of cosmetic dental services, including professional teeth whitening and other treatments such as clear aligners, veneers, and smile makeovers to help you achieve a brighter, more confident smile.
-
Yes, we provide comprehensive dental implant solutions, including single dental implants, as well as advanced options like all-on-four dental implants to restore your smile and oral function. We also offer bridging for teeth as a restorative option.
Still have a question?
Schedule Your Appointment
Your comfort is our priority, your trust is our promise, and excellence in care is our long lasting mission.

